Skip to content Skip to sidebar Skip to footer

How To Fix White Spots On Teeth - There are a number of foods that contain phosphorus in the form of this phytic acid that you need to avoid.

How To Fix White Spots On Teeth - There are a number of foods that contain phosphorus in the form of this phytic acid that you need to avoid.. This doesn't mean that you should stop eating these foods as a little phytic acid is actually good for you. Another effective procedure to remove white stains from teeth is called microabrasion. It is estimated that as many as 30% of all children will be affected by turner's tooth. If possible, brush and rinse your mouth after every. This can include illnesses and infections, vitamin deficiencies, excess fluoride, and even trauma to the tooth.

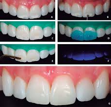
Whitening or bleaching teeth can help to reduce the appearance of white spots and other stains. There are a number of foods that contain phosphorus in the form of this phytic acid that you need to avoid. In fact, it indicates the onset of tooth decay. Another effective procedure to remove white stains from teeth is called microabrasion. In this method, the tooth is isolated with a rubber dam.

Icon White Spot Treatment Chertsey Surrey Dentist Courtyard Clinic
Icon White Spot Treatment Chertsey Surrey Dentist Courtyard Clinic from www.thecourtyardclinic.co.uk
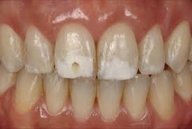
Bleaching your teeth, also known as whitening, can help get rid of white spots on your teeth. White spots on teeth are the primary signs of oral diseases and deterioration of teeth. Frequently, these types of white spots can be found after braces are removed, indicating poor oral care habits while braces were worn. Most times, teeth bleaching comes immediately after enamel microabrasion to help create uniformity in the color of your teeth. This can be accomplished with thorough brushing and flossing. White spots may occur on teeth due to bacteria that cause plaque. This doesn't mean that you should stop eating these foods as a little phytic acid is actually good for you. The home remedies explained below are almost as effective as the expensive dental procedures and can be followed through for a guaranteed cure white spots on teeth.

This doesn't mean that you should stop eating these foods as a little phytic acid is actually good for you.

Lack of proper brushing or flossing the teeth regularly can lead to the germination of bacteria causing dental plaque. There are a number of foods that contain phosphorus in the form of this phytic acid that you need to avoid. This includes brushing and flossing on a regular basis. Whitening or bleaching teeth can help to reduce the appearance of white spots and other stains. This involves the removal of some amount of enamel. Another effective procedure to remove white stains from teeth is called microabrasion. Sometimes, a very mild case of white spots that occurs right after braces are removed can be alleviated by improving oral care habits. White spots may occur on teeth due to bacteria that cause plaque. This can be accomplished with thorough brushing and flossing. But rest assured, at least in this case, there is a natural solution for the white spots. Baking soda is a natural whitening agent whereas the strawberry consists of vitamin c which helps to remove the white spots on teeth. As a parent, it is easy to worry about every little thing, and when it comes to your child's teeth, white spots can seem alarming.if you have a child who has clean teeth, but you notice spots of lighter white, you might be wondering if they will fade or if they are permanent. This can include illnesses and infections, vitamin deficiencies, excess fluoride, and even trauma to the tooth.

Whitening or bleaching teeth can help to reduce the appearance of white spots and other stains. There are a number of foods that contain phosphorus in the form of this phytic acid that you need to avoid. Once your teeth start receiving contact with saliva, these morning white spots typically fade away during the day. Baking soda will subtly give you the abrasion that is needed by your teeth to remove white spots along with balancing the ph levels of your mouth. This makes teeth healthier but usually does not remove the white spots.

What Are White Spots On Teeth Ballantyne Family Dental
What Are White Spots On Teeth Ballantyne Family Dental from ballantynefamilydental.com
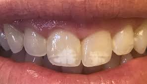
Another way you can get rid of the white spots on your teeth is to avoid phytic acid foods to remineralize your teeth. Since excessive fluoride is a primary cause of white spots on your teeth, monitoring the amount of fluoride you and your family use is critical. Brace wearers should brush and floss around wires and brackets regularly to reduce the risk of white marks fluorosis, enamel hypoplasia, demineralization of the enamel on the teeth, a low calcium diet, and poor oral hygiene can all lead to white spot lesions. It also prevents tooth decay. A two to one ratio of peroxide to baking soda is recommended. However it is not uncommon for a tooth to appear with yellow or brown discolorations as well. One treatment option is applying fluoride to developing teeth to encourage enamel to remineralize. Baking soda and peroxide baking soda and hydrogen peroxide is a classic home remedy for whitening teeth.

But rest assured, at least in this case, there is a natural solution for the white spots.

Here is how to remove white spots on teeth using baking soda and strawberry pack. Hydrogen peroxide or carbamide peroxide. Usually the defect is seen as a white discoloration; In fact, it indicates the onset of tooth decay. It involves a simple chemical treatment with one of two teeth bleaching agents: White spots on teeth are the primary signs of oral diseases and deterioration of teeth. This involves the removal of some amount of enamel. Another way you can get rid of the white spots on your teeth is to avoid phytic acid foods to remineralize your teeth. This can be accomplished with thorough brushing and flossing. White spots may occur on teeth due to bacteria that cause plaque. Sometimes bleaching will whiten the darker portions of your teeth to better blend or make the white spots disappear. A two to one ratio of peroxide to baking soda is recommended. Green tea can help you treat white spots on teeth effectively and naturally.

This can be accomplished with thorough brushing and flossing. Reduce sugary and acidic food and drink sugar and acidic foods create an ideal environment for bacteria to grow, which can lead to weakened enamel and white spots on teeth. A two to one ratio of peroxide to baking soda is recommended. This doesn't mean that you should stop eating these foods as a little phytic acid is actually good for you. In fact, it indicates the onset of tooth decay.

Dental Patient Education Removing Objectionable Spots From Teeth Youtube
Dental Patient Education Removing Objectionable Spots From Teeth Youtube from i.ytimg.com
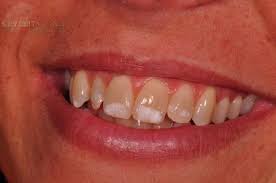
There are a few ways you can make the white spots disappear. This involves the removal of some amount of enamel. Removing white spots on teeth 1. The white spots on teeth could be hypoplasia or hypocalcification, conditions that occurs during the development of some teeth. In fact, it indicates the onset of tooth decay. But rest assured, at least in this case, there is a natural solution for the white spots. It is estimated that as many as 30% of all children will be affected by turner's tooth. Other optional ingredient xylitol powder in this paste keeps it from becoming bitter.

Green tea can help you treat white spots on teeth effectively and naturally.

If possible, brush and rinse your mouth after every. While there are many methods for treating white spots on your teeth, there are a few other steps you can take today to prevent white spots from ever appearing on your teeth. This involves the removal of some amount of enamel. It is estimated that as many as 30% of all children will be affected by turner's tooth. There are a few ways you can make the white spots disappear. Sometimes you need bonded fillings or veneers to hide them. In fact, it indicates the onset of tooth decay. However it is not uncommon for a tooth to appear with yellow or brown discolorations as well. But rest assured, at least in this case, there is a natural solution for the white spots. When you sleep with your mouth open, white spots develop on your teeth because of dehydration of the enamel on the teeth. Most times, teeth bleaching comes immediately after enamel microabrasion to help create uniformity in the color of your teeth. If you have white, decalcified spots on your teeth, the following are some steps you can take to reverse this condition: This can be accomplished with thorough brushing and flossing.